How To Administer Anesthesia Without Using an IAN Block
For the first half of my dental career, inferior alveolar nerve blocks were unpredictable. Often I had to give multiple injections with different anesthetics, hoping to get adequate anesthesia to proceed with dental care. There were times when a patient would be rescheduled because I had failed miserably with the blocks. The only thing that got numb was my ego.
I don’t have a problem with IAN blocks anymore … because I don’t use them. I tried Ligmaject and Stabident systems:
- Ligmaject was mildly successful; it would probably be more successful with the technique I use now.
- Stabident was very successful, but I had three incidents of bone necrosis. I believe in baseball: Three strikes and you’re out.
At an Academy of General Dentistry convention in Hawaii sometime around Y2K, I listened to Dr. Stanley Malamed, who introduced me to the benefits of Septocaine. Dr. Malamed also discussed several injection techniques. A light bulb went off in my head, and my journey to help my failing IAB ego started.
The following is what I do today for anesthesia. There can be many variations, so try to make it your own.
For the maxillary teeth, infiltrations work well. For bicuspids and incisors in the mandible, mental blocks are easy and effective. Mandibular molars get numb predictably now.
- I first place a topical anesthetic in the buccal fold of the tooth I plan to work on. My first injection is with a 30-gauge short syringe (the only syringe tip I use) with a pH-balanced anesthetic (4% Citanest plain) that pierces the tissue and is injected slowly. This helps prevent the sting or burn associated with anesthetics.
- I follow that with half a carpule of Septocaine, which now is painless. This allows the soft tissue to get numb.
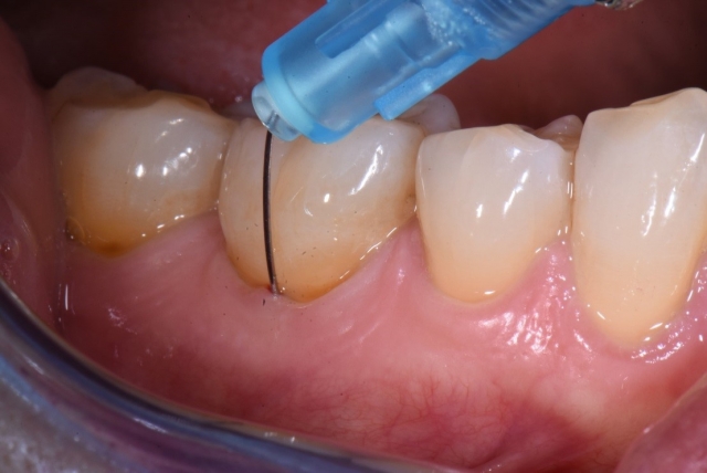
- I look at my syringe tip and orient the bevel toward the tooth. Look for the dot manufacturers place on the hub (Fig. 1).

- The tip is placed at the buccal furcation of the tooth. Slide it subgingival, parallel to the root surface until it contacts the bone/periodontal ligament area (Fig. 2).

- Push the syringe apically with mild pressure to wedge it into the PDL space. Slowly inject half a rubber stopper amount into this area. You want to feel a fairly good amount of back pressure.
- If the solution goes in freely, you probably are not getting into the PDL and aren’t likely to get good results. Repeat this injection at the lingual furcation.
The anesthesia comes on quickly — I put down my syringe and pick up my drill to start. Sometimes, but not often, a patient needs a booster shot if they feel a bit as we work. I will reinject the same sites, but probably will now go to six points around the tooth, as if I was perio probing using the same technique described. It takes less than a minute, then back to spinning my bur.
Additional comments and variations
- When I’ve had to do minimal work on a single molar, I have jumped to the step of injecting the buccal and lingual furcation with Septocaine. I warn the patient they may feel a pinch for a moment, but most do not. Patients get the work done comfortably and walk out of the office without feeling numb (or feeling minimally so).
- Does this injection technique create anesthesia by just reaching the furcation, or does it go all the way to the apex? I have used this injection on other teeth with success when a patient expresses a concern about the numb feeling (using the six points mentioned above). However, infiltration with a Carbocaine-Septocaine cocktail is my first choice.
- If I could find where I put my Ligmaject, I would probably try this technique with it. I have had no problem creating enough pressure to get profound anesthesia using just a regular syringe.
- Warn your patients know that the anesthetic may drip out as you inject, and that it tastes terrible.
- When I have shared what I do with others, some seem to be nonbelievers … until they try it.
I hope this helps make your challenging anesthetic situations easier — it has for me. Anyone want a few boxes of 27-gauge long needles?
SPEAR STUDY CLUB
Join a Club and Unite with
Like-Minded Peers
In virtual meetings or in-person, Study Club encourages collaboration on exclusive, real-world cases supported by curriculum from the industry leader in dental CE. Find the club closest to you today!

By: Carl Steinberg
Date: April 24, 2018
Featured Digest articles
Insights and advice from Spear Faculty and industry experts


