A Step-by-Step Guide to Converting Denture to Interim Hybrid Prosthesis

There are many ways to convert a complete denture to an interim dental implant-supported prosthesis during surgery or shortly thereafter. 

Spending more time working through the details of the interim hybrid prosthesis can provide valuable information that will be helpful in constructing the definitive prosthesis. The analog process is described below with photos.

Construction of an interim dental implant-supported hybrid prosthesis

Step 1

Identify the desired tooth position (natural teeth, dentures, etc.) to plan the placement of dental implants.

Doug Benting Converting Denture to Interim Hybrid Prosthesis fig. 1

Step 2

Make impressions to construct upper and/or lower complete removable prostheses. The denture(s) are made to full contour to serve as a “contingency plan” if connecting to dental implants is not feasible at the time of surgery.

Doug Benting Converting Denture to Interim Hybrid Prosthesis fig. 2

Step 3

Working with the remaining teeth or with the removable prostheses, use a CBCT to relate the desired tooth position to the supporting alveolar bone. The information can be used to construct a surgical guide, whether analog-style by hand or computer-generated.

Step 4

If working analog-style, construct a copyplast overlay of the removable prostheses to help identify the dental implant position in the conversion process. 

Doug Benting Converting Denture to Interim Hybrid Prosthesis fig. 3

Step 5

Prepare in advance the parts, materials, and equipment necessary to convert the removable denture to an interim hybrid prosthesis.

  • Transitional abutments, straight and angled with abutment screws
    • Have ready based on planning with CBCT
    • May be appropriate to have additional parts on “standby”
  • Titanium temporary abutments with abutment screws
    • Heatless stone to modify (shorten) the abutments as needed
    • Light-body VPS to cover screw access holes during conversion
  • Auto-polymerizing pink acrylic (with plastic Monoject syringes), auto-polymerizing tooth-colored acrylic, bis-acrylic and adhesive to attach the denture to the titanium temporary abutments
  • Rubber dam to protect the surgical site during conversion
  • Laboratory handpiece (straight) with 8 round bur and acrylic bur, silicone polishing points, acrylic polishing wheels, and brushes
  • Articulating paper
  • Removable denture(s), surgical guide, and the corresponding copyplast overlay

Step 6

At the time of conversion, place the transitional abutments and check for clearance that may require a slight correction (removal) of soft or hard tissue

  • Soft-tissue clearance (tall enough abutment)
  • Clearance of alveolar bone, particularly with angled abutments

Step 7

Place titanium temporary abutments and insert the copyplast overlay to check for the position and height of the abutments. Mark the copyplast overlay to identify the dental implant position, then make holes and insert to check. When the holes are in the right place, modify the titanium temporary abutments to the correct height. Replace the titanium temporary abutments and place light-body VPS to protect the access openings to the abutment screws.

Step 8

Place the copyplast overlay onto the denture(s) and make holes for the titanium temporary abutment, then evaluate for minor adjustments. 

Step 9

If the patient is fully edentulous, work to position the upper teeth first using the palate as a reference point.

  • If the planned treatment is for an upper denture and teeth have been removed, adding tissue-conditioning material may help optimize the position of the removable prosthesis.
  • If the planned treatment is for an interim upper hybrid, then identify a reference point to help maintain tooth position while the material used to attach the denture to the titanium temporary abutments is polymerizing.

Step 10

Prepare the surface of the denture modified to accept the acrylic used to attach the titanium temporary abutments. Place a rubber dam to protect the surgical site. 

Doug Benting Converting Denture to Interim Hybrid Prosthesis fig. 6
  • Wet the area either with liquid monomer, if working with methyl-methacrylate, or with adhesive, if working with bis-acrylic. Prepare the acrylic to inject and dry the titanium temporary abutments. 
  • Add material to the denture and the titanium temporary abutments and insert. Hold the upper denture in place based on previously identified reference points, and have the patient close to hold the lower in “centric relation” position. Allow the material to cure and evaluate each abutment for attachment to the interim prosthesis (denture).

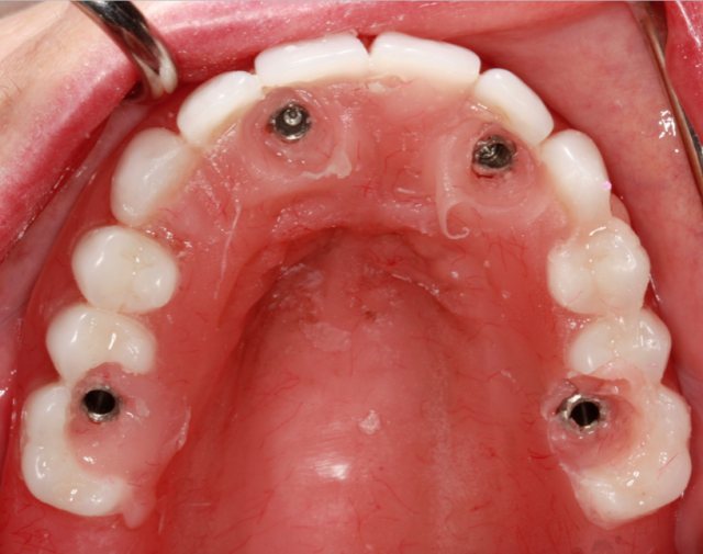
Step 11

Remove the interim hybrid(s) and the rubber dam, and evaluate the tissues. Backfill the interim hybrid as needed to fill out the contour, and cover around the titanium temporary abutments. Polish with silicone points, polishing wheels and pumice. (Click here for other polishing tips.)

Doug Benting Converting Denture to Interim Hybrid Prosthesis fig. 7

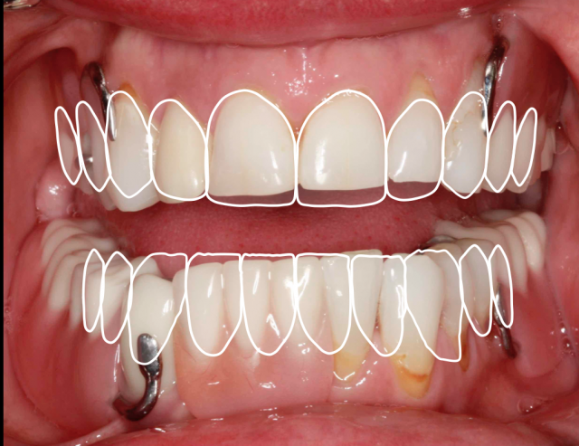
Step 12

Replace interim hybrid(s) and evaluate contact with the soft tissue as well as occlusal contacts to adjust as necessary. 

Doug Benting Converting Denture to Interim Hybrid Prosthesis fig. 8

Step 13

Fill access holes with light-body VPS and either bis-acrylic or composite to protect access holes.

Step 14

Monitor the patient during the healing process. 

Doug Benting Converting Denture to Interim Hybrid Prosthesis fig. 9

What do you think of these steps? Please feel free to share your own steps at Spear Talk.

SPEAR STUDY CLUB

Join a Club and Unite with
Like-Minded Peers

In virtual meetings or in-person, Study Club encourages collaboration on exclusive, real-world cases supported by curriculum from the industry leader in dental CE. Find the club closest to you today!


Featured Digest articles

Insights and advice from Spear Faculty and industry experts