Papilla: Don’t Call it a Comeback
We have plenty of patients present to our offices desiring a nicer smile. Of course we want to transform our patient’s desires into the restorations that we create and give them the smile they’ve always wanted. However, after we get everything just right, there is one variable that can make or break the case: The tissue.
Let’s face it; the tissue gets worked over from the time of preparation, gingival retraction and provisional placement. There’s also wear during the time until delivery, all the way to cleaning up the cement on the final restorations. Personally, I’ve found that the papilla, out of all of the tissue, seems to be what often catches a lot of the “beating.”
Often I’ve removed my provisionals, cleaned up the cement and tried in my final restorations, only to find a “black triangle” present. Even if everything is perfect, there is always the question of whether the papilla will come back. Sometimes we are restoring a case that already has a black triangle present and we have to design the case to be successful in the end.
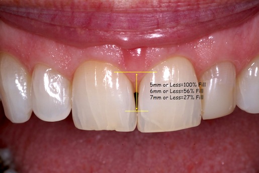
How do you know? One factor to keep in mind that has been researched in the past and is often referenced is the contact point to bone height [1]. Here are some numbers to consider the next time you’re trying to manage the papilla:
- 5mm or Less from Contact Point to Height of Bone = 100% fill
- 6mm or Less from Contact Point to Height of Bone = 56% fill
- 7mm or Less from Contact Point to Height of Bone = 27% fill
References
1. J Periodontol. 1992;63(12):995-996. The effect of the distance from the contact point to the crest of bone on the presence or absence of the interproximal dental papilla. Tarnow DP, Magner AW, Fletcher P.
Jeff Lineberry, DDS, FAGD, Spear Visiting Faculty, Contributing Author. [ www.jefflineberrydds.com ]
If you find articles like this one helpful, there are even more available to you with the new Spear Digest Monthly. In the most recent issue you’ll find articles about whether to use implants or FPDs, learn more about options for edentulous patients, and how to implement a team rewards program. If you’re not yet a member of Spear, sign up now for a free Basic membership.
SPEAR NAVIGATOR
Transform how your practice runs by engaging the team through
coaching and training
A guided path to excellence through structured coaching and self-guided resources that will align your team, streamline processes and drive growth. Transform your practice by implementing Spear’s proven playbooks for developing and retaining a high-performing dental team.

By: Jeff Lineberry
Date: May 1, 2014
Featured Digest articles
Insights and advice from Spear Faculty and industry experts



