The Single Central Checklist in Anterior Tooth Restoration
Meeting patient expectations with anterior tooth restoration is indeed a significant challenge. After all, these procedures involve not just restoring functionality but also ensuring that the aesthetics align seamlessly with the patient’s natural smile. A strategic approach may be your best bet when you’re attempting to tackle one of these cases.
Overcoming challenges in anterior tooth restoration

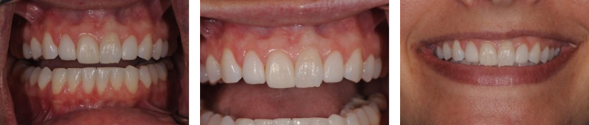
This is my patient, Shannon. Shannon is 34 years old. She fractured her upper right central incisor (#8) approximately two years ago. It was an accidental fracture as a result of tripping and falling on the ground. At that time, she was leaving town for an extended stay in South America, having accepted a job as an English translator in a remote area. At this time, I pulp tested (vital) and provisionalized the tooth. The breach necessitated a crown provisional due to the extent of the fracture. The provisional was cemented with RMGI since she was to be out of range for such an extended time.
Shannon has now returned for a final restoration. The tooth has remained vital. Shannon would now like to finalize her single central restoration. Single central teeth are the most challenging restorations that dentists are asked to restore. Why would I make that comment? What makes them so difficult? There are several factors that should be considered before embarking on the definitive restorative process.
The single central checklist
A discussion of this type of challenging restorative situation can provide direction and awareness as a guide for the thought processes and sequences to be contemplated. The objective of the following checklist for Spear Digest readers is to raise awareness of the difficulties, challenges, and potential hazards of single central restorations.
Patient expectations
It is essential to get a handle on what the expectations of the patient are for any anterior restoration. Are the patient expectations realistic? Do they have a reasonable view of the difficulties associated with matching the adjacent tooth? There is a high likelihood that multiple try-in appointments will be required to adequately match the color, shade, contour, and texture of the adjacent central area. These are not slam-dunk restorations by any means. Associated factors, such as time, cost, and patience, are critical considerations to consider before proceeding with a single central restoration and accepting the challenge.
Fees
Along the lines of patient expectations are the fees or costs associated with those expectations. The more challenging the match situation, the more significant the time and fees can — and should — be. A non-textured, non-translucent, single shade type central is much less challenging than a central incisor like Shannon’s. Shannon’s adjacent central is very textured and contains multiple intrinsic colorations and effects. This is a very challenging tooth to match. Given these considerations, the restoration will involve more dental laboratory time and skill to create a similar counterpart. Thus, the fee from the dental laboratory will be/should be greater. The fee structure charged to the patient should be adjusted to compensate appropriately for this difficult replication situation.
Laboratory ability
Coinciding with fee increases associated with these challenging restorative situations is the skill set and abilities of the dental laboratory technician. The expectation and ability of the dental laboratory should be equal to or higher than those of the dentist. The technician must possess the skills to produce an outcome that satisfies expectations and creates a virtually imperceptible restoration. Not every dental laboratory or technician may be capable of producing a result that satisfies these challenging circumstances. The dentist who accepts the challenge of restoring single centrals must also be aware that the dental lab chosen for fabrication must be capable of working at and producing a restoration at a high level.
Materials
Consideration must be given to the material chosen for the restoration. Desired shade, or the number of shade changes desired, relative to the initial shade presentation, drives most material selection (and tooth preparation depth). Depending on the challenges presented in terms of strength and masking ability, various materials can be utilized. Porcelain fused to metal is the best choice when very dark abutments/substructures exist. However, depending on the technician’s skill, ceramic materials (such as zirconia or lithium disilicate) can also work well. The greater the shade change required, the greater the depth of tooth preparation needed to provide both strength and masking ability. The technician should oversee material selection rather than the dentist. The technician is knowledgeable about materials and material handling; therefore, they should select the appropriate restorative material for a given situation.
Function
Depending on the functional (or para-functional) habits of the patient, material type and fabrication design can be affected. Weaker feldspathic materials are not appropriate for patients with significant para-functional habits or movements, as they cannot withstand heavy functional forces. The use of monolithic zirconia or lithium disilicate is more appropriate in these situations. The dentist must be cognizant of visual functional clues (wear facets or patterns) presented by the patient when deciding upon restorative materials.
Laboratory communication
In single central restorative situations, it is paramount that the dentist and the dental laboratory maintain close and constant communication. Discussions regarding patient expectations, shade, material options, and preparation design should all occur before any tooth preparation begins. A pre-treatment consultation with the dental laboratory technician is highly recommended for single-tooth restorations. The diagnostic wax-up resulting from these pre-treatment discussions will provide improved relevance and application to the restorative operation. Once the preparation process begins, consistent and frequent communication must continue. Prep shades (stump shades) and provisional shades and contours serve as helpful visuals to assist the technician during the fabrication process. The predictability of the outcome increases significantly when the dental technician is involved in the design and preparation process.
Go-by information
As mentioned previously, provisionals are a key part of the information necessary for laboratory technicians. The diagnostic wax-up creates a blueprint of the design that is used as a guideline and template for provisional fabrication. If contour alterations are made different from the wax-up, the provisionals must now serve as the go-by reference for tooth contour. The objective of provisionals is to act as replicas of the final product. Vision, embedded within the word ‘’’provisional, is not an accident!’ provisional’ is not an accident. Objectively, the only variance between the provisional and final restorations should be the restorative material (the ceramic material itself) and the creation of a more realistic and natural shade.
Number of teeth restored
Given the challenges and difficulties associated with single central incisors, defaulting to restoring two centrals is not a poor or wrong choice. The fact that central incisors are mirror images of each other makes it more manageable to restore both centrals to achieve a more predictable result. If the adjacent central incisor needs restoration, this choice becomes easier (and perhaps more appropriate) to make. As an alternative to two crowns, the adjacent central tooth could be restored with a veneer, thereby maintaining as much natural tooth structure as possible.
Declining to restore the single central
There is no shame or remorse in deciding not to restore a single central incisor. The challenges are great, and the potential frustrations for both dentist and patient are significant. It may be better to decline the restorative treatment and refer the patient. If one feels they cannot meet the entire list of expectations and responsibilities needed to obtain an acceptable outcome, withdrawing from treatment is an appropriate and respectable choice.
Case study: The single central checklist in action
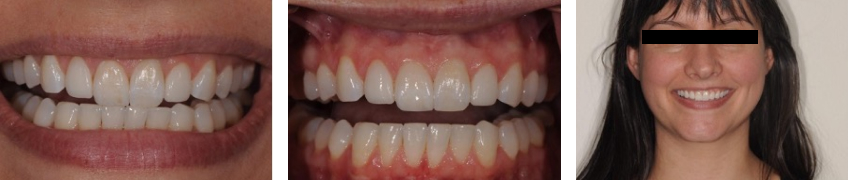
In Shannon’s circumstance, I chose to restore her single central incisor. I collaborated with a dental laboratory, Esthetics by Design, that employed technicians capable of creating an outcome that could meet the challenges of the case.
Shannon’s natural teeth contained many internal effects, significant color variations, and substantial texturing. Following a lengthy discussion with both Shannon and the dental laboratory regarding objectives, the restorative process proceeded.


The lithium disilicate crown was tried in and required some alteration to the internal effects. With only a single additional try-in and minor color adjustment, the final restoration was bonded into place. Shannon was very pleased with the result.

Maximizing your results with continuous communication
By addressing patient expectations upfront, dentists can better align their treatment plans with realistic goals, ensuring satisfaction and success in anterior tooth restoration. Furthermore, understanding the nuances of laboratory capabilities and materials empowers clinicians to make informed decisions that support the desired esthetic and functional outcomes.
Through continuous communication with the dental laboratory and meticulous attention to detail, a strategic approach can enhance predictability and streamline the restoration process. By following a systematic checklist, clinicians can navigate the challenges of anterior tooth restoration with confidence, ultimately delivering smiles that surpass expectations.
SPEAR STUDY CLUB
Join a Club and Unite with
Like-Minded Peers
In virtual meetings or in-person, Study Club encourages collaboration on exclusive, real-world cases supported by curriculum from the industry leader in dental CE. Find the club closest to you today!

By: Jeffrey Bonk
Date: June 27, 2024
Featured Digest articles
Insights and advice from Spear Faculty and industry experts


