My Tooth Broke As I Was Eating Soft Bread
“My crown broke while I was eating soft bread!”
You’ve heard this remark a thousand times if you’re like me. Usually, it succinctly implies that the doctor should be held responsible for such an unfortunate and illogical occurrence, especially since the patient was doing something “extremely innocent,” like chewing soft food.
If the patient is someone we have treated before, and we made the restoration that is now broken or fallen off, the patient usually points the finger at us — as if we did something wrong!
In The Biggest Dental Lie, I wrote about how many patients believe a dental implant is forever, and so is its respective implant-supported restoration. Unfortunately, this way of thinking also includes many tooth-supported restorations.
While there is absolutely no reason why any dental restoration should not have an expiration date, the longevity or prognosis of any dental restoration is directly influenced by the following four fundamental variables:
- Initial structural condition: The amount of breakdown present before the tooth was even initially restored.
- Quality of the restoration: The materials, marginal fit and bonding protocols utilized.
- Genetic/environmental condition: Resistance versus susceptibility.
- Behavioral condition: Use versus abuse (i.e., diet, parafunction, habits, etc.).
Stressing the “hostile nature of the intraoral environment” to the patient is imperative.
But what happens with provisional restorations, crowns, or teeth that break when eating soft foods? What makes soft bread an enemy of teeth and our dentistry?
The answer is failures. It’s all about the differences between catastrophic failure, fatigue failure and preliminary failure.
Catastrophic Failure
Catastrophic failure refers to sudden and total failure from which recovery is impossible. The term is most commonly used for structural failures, but has often been extended to many other disciplines in which total and irrecoverable loss occurs. A perfect example is when a tooth or a crown exhibits a fracture to the gumline, which may be associated with trauma.
Fatigue and Preliminary Failures
Fatigue is the breaking or fracturing of a material caused by repeated cyclic loads below the yield limit. Intraoral occlusal forces create this dynamic repetitive loading; thus, instead of a monotonic static load to fracture, normally patients experience a physiologic fatigue load. (Figs. 1-2)


Fatigue life is defined by the number of load cycles required for a specimen to fail for a given applied load. This number relies on several variables, such as stress level, stress state, cyclic wave form, fatigue environment and metallurgical condition of the material. However, fatigue life may also refer to a preliminary failure condition as opposed to complete fracture of the specimen.
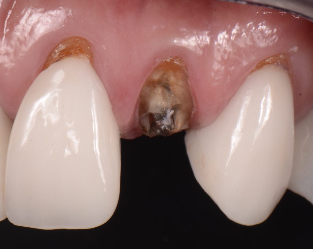
For instance, with dental crowns preliminary failure is when the luting cement seal clinically fails resulting in microleakage between the crown and the tooth (this preliminary failure is impossible to be initially detected clinically). Such microleakage will eventually cause a degradation, or washout, of the luting cement and may eventually be manifested as recurrent caries, loss of retention, fractured posts, or complete dislodgment of the crown and foundation restoration. (Figs. 3-4)


At this point the tooth or crown is most vulnerable to the heinous attack of soft bread.
This is also very common when the provisional cement on a temporary restoration is washed out, and suddenly, a soft, normally sticky bread will simply facilitate the dislodgement of the restoration.
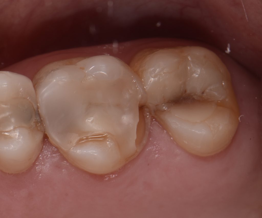
The same is found with a fracture of a cusp or fragment of a tooth that has an intra-coronal restoration, such as an inlay, an amalgam, or a composite resin. (Figs. 5-6)


Fatigue cracks initiate and propagate in regions where the strain is most severe. This area of high deformation initiates a fatigue crack, which propagates under the applied stress through the material until the complete fracture, which once again may very well be evidenced for the first time while chewing sticky or soft food.
How can we explain these potential failures to patients so they will stop believing soft bread can break teeth?
When I explain fatigue and preliminary failures to patients, I use the example of the Energizer Bunny. Just like the bunny keeps “going and going,” the same happens with teeth. There is a continuous load below the yield strength. However, this persistent load may eventually lead to a crack or a break in the cement seal. Over time, the system silently fails and is exposed to microleakage and the formation of recurrent decay. Any sticky medium, like soft bread, will separate the fragment or crown from the remaining tooth/root structure.
Spear’s Patient Education videos, which are included with membership to Spear Online, can help you communicate with patients. For example, the Cracked Tooth video explains how and why teeth crack in plain and simple language.
Videos like Cracked Tooth, which are designed to show chairside with the Patient Education tablet app – not only make dental topics clear to understand, but also provide the most efficient call to action for patients who often end up restoring other teeth that may exhibit cracks.
Additionally, the Patient Education platform includes lobby videos like Cracked Teeth, which clinicians and their teams can stream to the monitors in their waiting rooms with Apple TV or Fire TV Stick.
References
- Kelly, J. R., Cesar, P. F., Scherrer, S. S., Della Bona, A., Van Noort, R., Tholey, M., … & Lohbauer, U. (2017). ADM guidance-ceramics: Fatigue principles and testing. Dental Materials, 33(11), 1192-1204.
- Baran, G., Boberick, K., & McCool, J. (2001). Fatigue of restorative materials. Critical Reviews in Oral Biology & Medicine, 12(4), 350-360.
- Dong, X. D., & Ruse, N. D. (2003). Fatigue crack propagation path across the dentinoenamel junction complex in human teeth. Journal of Biomedical Materials Research Part A: An Official Journal of The Society for Biomaterials, The Japanese Society for Biomaterials, and The Australian Society for Biomaterials and the Korean Society for Biomaterials, 66(1), 103-109.
- Yahyazadehfar, M., Ivancik, J., Majd, H., An, B., Zhang, D., & Arola, D. (2014). On the mechanics of fatigue and fracture in teeth. Applied Mechanics Reviews, 66(3), 030803.
- of Prosthodontics, A. B., Society, A. E., Society, A. P., Society, A. P., Conference, C. O. B. P., of Prosthodontics, G. N. Y. A., … & Implantology Association. (1999). The glossary of prosthodontic terms seventh edition (GPT-7). The Journal of Prosthetic Dentistry, 81(1), 48-110.
FOUNDATIONS MEMBERSHIP
New Dentist?
This Program Is Just for You!
Spear’s Foundations membership is specifically for dentists in their first 0–5 years of practice. For less than you charge for one crown, get a full year of training that applies to your daily work, including guidance from trusted faculty and support from a community of peers — all for only $599 a year.

By: Ricardo Mitrani
Date: May 29, 2019