What Happens When You Have To Extract and Replace a Molar?
The real question is: What happened to cause the loss of the molar? Whether it’s a single-tooth implant replacement or the need for posterior restorative dentistry, I want to find out why it happened. The majority of implants placed and dentistry performed is posterior. Why?
Many times, a new patient with a problem comes to the practice and we help by “stabilizing” the problem at hand. We now have the opportunity to offer our new patient a comprehensive exam and try to find out why the problem occurred. If we can’t figure out the why, it will happen again.
Most likely, the loss of the tooth had something to do with traumatic forces, so what do you evaluate? Occlusion is the first thing that pops into my mind. Is now the time to revisit the entire occlusal–functional scheme for your patient? Did micro trauma over time become macro trauma?
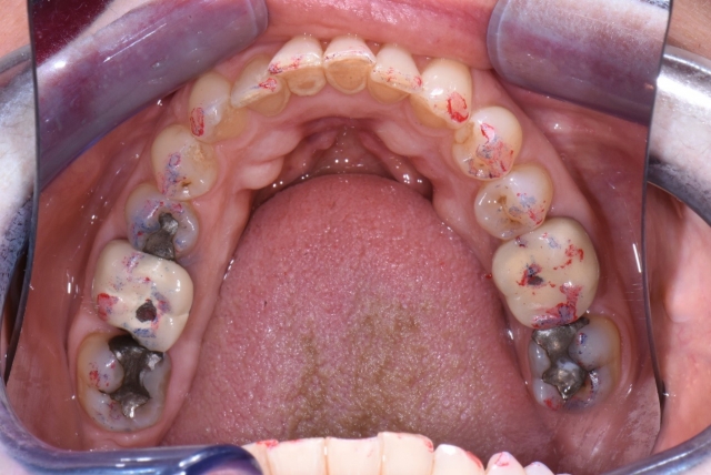
I use photography to share what I see with my patients. We document occlusion using photos with articulating paper.

It is now easy to share with a patient that in a “good bite,” I would like to see blue dots on the back teeth and red stripes on the front teeth. I then point out how the very colorful teeth had a part to play in their dental breakdown. I also point out other areas that concern me and, if left alone, may have similar consequences.
When do you address these changes? It’s easy to discuss with a new patient, but it becomes a different situation for someone who’s been in the practice for some time. I tell them that we all change slowly over time and don’t see the change from day to day. “Sometimes when I look in the mirror, I ask myself, ‘What is my father doing there?’ ” That usually gets a chuckle. As we see patients for hygiene checks, how much time do we really have to be thorough?
My second thought when I see changes in occlusion goes to changes in the joint. We all change over time; why would we believe the TM joint doesn’t change as well? This gives me an opportunity to examine the joints and muscles again, and also sets the stage for us to revisit occlusion yearly so small changes don’t become big ones.
The Occlusion in Clinical Practice workshop helps identify these concerns and how to address them. Your understanding of treating a patient, and not just fixing a hole, will improve.
Good luck on your journey!
SPEAR campus
Hands-On Learning in Spear Workshops
With enhanced safety and sterilization measures in place, the Spear Campus is now reopened for hands-on clinical CE workshops. As you consider a trip to Scottsdale, please visit our campus page for more details, including information on instructors, CE curricula and dates that will work for your schedule.

By: Carl Steinberg
Date: August 21, 2018
Featured Digest articles
Insights and advice from Spear Faculty and industry experts


