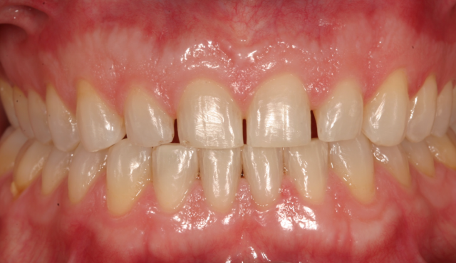
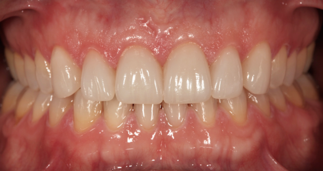
A Simplified Process for Bonding e.max and Other Glass Ceramic Restorations
This is a process where it is best that the clinician takes control.
Generally, clinicians prefer that their laboratory technicians etch their glass ceramic restoration before sending it to the dental office. Questions arise, such as which acid was used, how long it was on the surface, whether the ceramic surface should appear “chalky,” whether the surface was contaminated after the etching process, etc. A more predictable outcome may be achieved if the laboratory only steam-cleans the restoration before it’s sent to the clinician and uses an etchant that will not overetch the ceramic.
Follow these simple steps to get the best bond to your e.max or other glass ceramic restorations.
Step 1: Try the restoration on the tooth to confirm the marginal integrity, interproximal contacts, and esthetic appearance.
Step 2: Rinse for 10 seconds with a water-air spray … oil-free, of course. Better yet, steam-clean the restoration.

Step 3: Apply Monobond Etch & Prime (Ivoclar Vivadent) to the intaglio surface only for 60 seconds. The first 20 seconds, agitate the surface with a micro-brush, and for the next 40 seconds, let the liquid react with the surface of the ceramic. The Monobond Etch & Prime will clean, etch, and prime any glass ceramic surface with which it comes into contact. If it is applied to the external surface of the restoration, the adhesive and resin cement will adhere.
Step 4: After 60 seconds, rinse and dry the surface.
Step 5: Follow the manufacturer’s recommendations for steps in bonding the restoration to the tooth.


The advantage of using Monobond Etch & Prime is that it will not overetch the ceramic if a second application is used or needed. The test results from Ivoclar show that it provides a better bond to glass ceramic compared with the traditional hydrofluoric acid and silane application approach.
FOUNDATIONS MEMBERSHIP
New Dentist?
This Program Is Just for You!
Spear’s Foundations membership is specifically for dentists in their first 0–5 years of practice. For less than you charge for one crown, get a full year of training that applies to your daily work, including guidance from trusted faculty and support from a community of peers — all for only $599 a year.

By: Robert Winter
Date: December 14, 2016
Featured Digest articles
Insights and advice from Spear Faculty and industry experts


