How to Achieve Success with Custom Zirconia Abutments

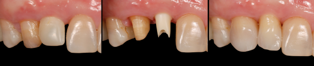
The custom zirconia abutment is a widely used esthetic implant abutment option. (Figure 1) I have used it for many years in clinical practice with a variety of different implant brands in a variety of different clinical situations, and for the most part have had very little problems.
It is a very versatile esthetic abutment that can be designed either by scanning a wax-up followed by milling the abutment or it can be designed entirely by CAD/CAM. As compared to other esthetic custom abutment options that allow the use of an all-ceramic restoration over the top, the zirconia abutment can be designed and created “efficiently.” (Figure 2) However, it must be said that this abutment solution does not come without some concerns.

The main concern that is continually discussed in the literature is “strength” and “fracture.” Although zirconia is a great alternative to metal, it does not have the same strength as metal, especially in thin areas. If, due to the positioning of the implant, the abutment design results in excessively thin axial walls, zirconia may not be the best abutment material. (Zandparsa R, J Prosthodont, 2015)

Depending on the manufacturer, zirconia abutments can either be made as “one-piece” (Figure 1) or with a metal insert/secondary metal component (Figure 3). The literature is clear that the type of connection to the fixture significantly influences the strength of the zirconia abutment. The two clinical situations in which I had fractures of zirconia abutments were both with patients whose entire abutments were made out of zirconia with no metal other than the screw.

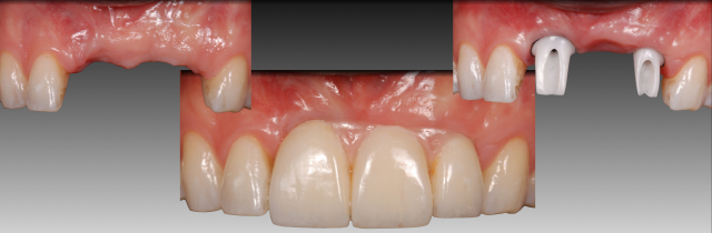
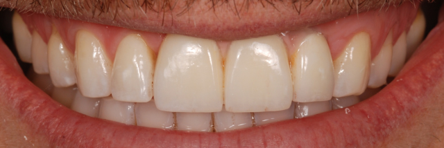
One of these patients can be seen in Figure 4. The patient lost his anterior teeth and a significant portion of the ridge due to trauma. After hard tissue ridge augmentation, implants were placed in the #8 and #10 sites and restored with three-unit implant FPD utilizing “one-piece” custom zirconia abutments. Given the difficulties of vertical augmentation, pink ceramic was utilized to help esthetically replace the papillae. The pink ceramic can be a nice esthetic option as long as you cannot see the junction of the pink ceramic in the smile line. (Figure 5)

Unfortunately, the patient called the office less than a week after the restoration was inserted and reported that his implant bridge felt loose. Upon bringing him back into the office, it was discovered that the zirconia implant abutments had fractured at the level of the internal connection. (Figure 6)

The literature is very clear in reporting that this is typically the weakest part of a zirconia abutment. It is also clear that superior strength is achieved by means of an internal connection via a secondary metallic component. (Sailor, Int J Oral Maxillofac Implants, 2009) The other issue with “one-piece” zirconia abutments is wear at the titanium (implant) – zirconia (abutment) interface. It is interesting to note that it is the titanium implant that showed higher wear at the implant interface when connected to a one-piece zirconia abutment compared to a titanium abutment. (Stimmelmayr M, Dent Mater, 2012)
So, how do I explain my relatively high success rate with zirconia implant abutments? I try to use them in areas of lower force (anterior as opposed to posterior) and ideally with a secondary metal component for the internal connection into the implant.
Gregg Kinzer, D.D.S., M.S., Spear Faculty and Contributing Author
FOUNDATIONS MEMBERSHIP
New Dentist?
This Program Is Just for You!
Spear’s Foundations membership is specifically for dentists in their first 0–5 years of practice. For less than you charge for one crown, get a full year of training that applies to your daily work, including guidance from trusted faculty and support from a community of peers — all for only $599 a year.

By: Greggory Kinzer
Date: July 13, 2016
Featured Digest articles
Insights and advice from Spear Faculty and industry experts


