Teachable Moments in Dentistry
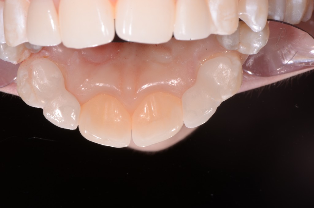
I recently restored a 17-year-old female with congenitally missing maxillary lateral incisors who had recently completed her orthodontics. Her mother wanted a nice cosmetic result without looking at implants for her daughter just yet, and I found myself proposing Maryland bridges as either a short- or long-term solution. The patient presented with a favorable anterior occlusion and no proclination of the teeth, which made her a good candidate for such treatment.
When I considered material choices for the bridges, I looked at:
- e.max with two wings (the most esthetic but weakest choice)
- zirconia (a very strong and esthetic choice but not the best option for bonding)
- nonprecious metal ceramic (a very strong choice and can be bonded but not the most esthetic).
I then started to think about one retainer or two. I read articles citing the long-term statistics on a single retainer1 and a two-unit,2 and decided to put the retainer on the cuspid and cantilever the pontic.
This was the first time I’ve done this with a Maryland bridge, and when I talked with my technician at Winter Lab about taking the leap of faith on this, he made an additional recommendation I thought was brilliant: Because the framework was fabricated in zirconia, why not press lithium disilicate to the intaglio surface of the retainer and then bond it in place? Doing this would allow me additional retentive peace of mind. and it’s precisely what I did.
In the spirit of learning from these Spear articles, I will keep you all posted on the level of success for this patient.
References
- Sasse M, Eschbach S, Kern M. Randomized clinical trial on single retainer all-ceramic resin-bonded fixed partial dentures: Influence of the bonding system after up to 55 months. J Dent. 2012 Sep; 40(9):783–6.
- Botelho MG, Ma X, Cheung GJ, Law RK, Tai MT, Lam WY. Long-term clinical evaluation of 211 two-unit cantilevered resin-bonded fixed partial dentures. J Dent. 2014 Jul; 42(7):778–84.
FOUNDATIONS MEMBERSHIP
New Dentist?
This Program Is Just for You!
Spear’s Foundations membership is specifically for dentists in their first 0–5 years of practice. For less than you charge for one crown, get a full year of training that applies to your daily work, including guidance from trusted faculty and support from a community of peers — all for only $599 a year.

By: Mary Anne Salcetti
Date: May 29, 2014
Featured Digest articles
Insights and advice from Spear Faculty and industry experts



