When Is Canine Substitution Appropriate?
When you have patients who are missing lateral incisors, multiple factors need to be taken into consideration. The management of adult patients who happen to have their lateral incisors and need them extracted is an entirely different process than patients with congenitally missing laterals. Single-tooth implants are not suggested for young patients until they have completed their growth cycle.

For these young patients who are congenitally missing their lateral incisors, canine substitution can be an excellent, esthetic treatment option, but certain criteria must be met to help guarantee this procedure will be a success and yield predictable results:
Occlusal considerations
From an occlusal standpoint, two situations are appropriate:
- A Class II individual free of mandibular crowding. In this case, the molars would remain in Class II, but the premolar is brought forward to act as the canine while remaining in a Class I relationship with the lower canine.
- A Class I individual with sufficient mandibular anterior crowding that would necessitate premolar extractions on the lower arch.
Profile considerations
Ideally, the patient would have a profile that is relatively flat or slightly convex. Patients without either of these characteristics would most likely benefit from a treatment modality that manages the esthetic profile.
Canine shape and color
If the canines will sit in the lateral site, evaluation of canine shape and color is necessary.
Shape considerations
Canines are generally larger than lateral incisors, so the width of canines should be evaluated. However, it’s not the overall width that is important but the width at the cementoenamel junction, because that can’t be narrowed. The wider the tooth at the CEJ, the more difficult it will be to make them look like lateral incisors.
Color considerations
Color-wise, out of all the teeth in the mouth, canines are the most saturated with chroma. A canine that is smaller in shape and doesn’t have an oversaturation of chroma would make an excellent candidate for canine substitution.
Smiling lip level
Depending on how high the smile line is, the patient’s lip level may show the canine eminence. Large canines often have an obvious root prominence, and high lip levels may reveal an unnatural eminence in the lateral sight.
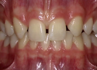
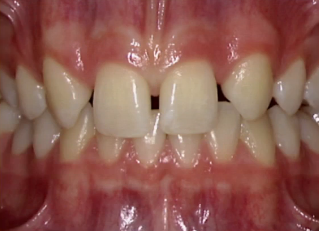
Canine substitution can be an excellent treatment alternative for congenitally missing maxillary lateral incisors. Patient selection is critical and depends on the type of malocclusion, profile, canine shape and color, and smiling lip level. Pretreatment evaluation of these selection criteria is necessary to ensure treatment success and predictable esthetics.
FOUNDATIONS MEMBERSHIP
New Dentist?
This Program Is Just for You!
Spear’s Foundations membership is specifically for dentists in their first 0–5 years of practice. For less than you charge for one crown, get a full year of training that applies to your daily work, including guidance from trusted faculty and support from a community of peers — all for only $599 a year.

By: Greggory Kinzer
Date: March 12, 2018
Featured Digest articles
Insights and advice from Spear Faculty and industry experts



