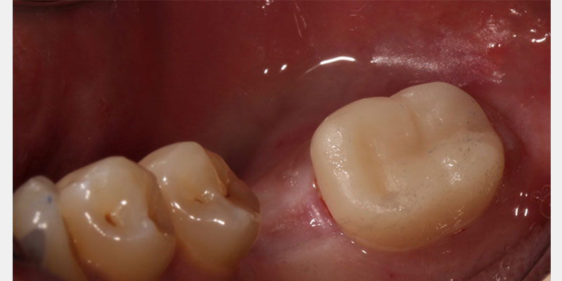
Restoration With the Endocrown
Compromised endodontically treated teeth with minimal tooth structure can be challenging to restore. Traditional approaches of a prefabricated post and core or cast post and core have worked well. However, there are instances where a post and core may be especially difficult or not feasible for a tooth. The endocrown provides an alternate approach for saving and restoring these compromised teeth.
What’s the endocrown? The concept was first introduced by Bindl and Mormonn in 1999, when they defined the endocrown as “ceramic restoration workpieces compromising the entire crown and an integrated, apically protruding retention part.”1
In their research, Bindl and Mormonn examined 19 cases (four premolars and 15 molars) in which an endocrown was utilized. They found that after 28 months, 95% of the restorations were successful, and failures were only due to secondary caries.

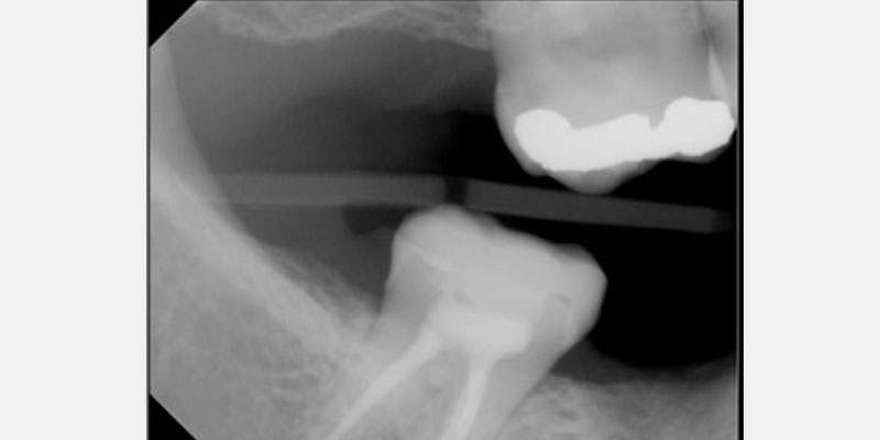
Since the early work on endocrowns was published by Bindl and Mormonn, a host of other studies have looked at preparation design for endocrown restorations. When preparing a tooth for an endocrown, a 2.0 mm occlusal reduction with extension into the pulp chamber is required.
The literature suggests a shoulder and a chamber finish line2, 3, 4 with the extension into the pulp chamber protruding approximately 2.0 mm into the chamber.5 Minimal retention is present, and thus, these restorations must be bonded in place with resin cement.
Endocrown restorations can be designed and fabricated using CAD/CAM technology and delivered in a single-visit appointment. Fabricating a provisional can be challenging due to the lack of traditional retentive features in an endocrown preparation. Studies performed that have involved fabricating a provisional for an endocrown preparation have utilized various materials, including Cavit-1 and acrylic-based provisional materials.6




Early results have shown that the endocrown has a high success rate, especially in molar teeth. A seven-year study comparing traditional crowns on endodontically treated teeth with endocrown restorations found success rates of 99.78% for traditional crown restorations and 98.66% for endocrown restorations.7 Also, a retrospective study looking at severely broken-down teeth with endocrowns found a survival rate of 99.0% and a success rate of 89.9%.8
Endocrown is a unique type of restoration that is predictable in restoring complex endodontically treated teeth. It is another option to consider when developing a treatment plan to restore endodontically treated teeth.
References
- Bindl, A., & Mormann, W. H. (1999). Clinical evaluation of adhesively placed Cerec endo-crowns after 2 years-preliminary results. Journal of Adhesive Dentistry, 1, 255-266.
- Fages, M., Raynal, J., Tramini, P., Cuisinier, F. J., Durand, J. C., & Cuisinier, F. J. (2017). Chairside Computer-Aided Design/Computer-Aided Manufacture All-Ceramic Crown and Endocrown Restorations: A 7-Year Survival Rate Study. International Journal of Prosthodontics, 30(6).
- Chang, C. Y., Kuo, J. S., Lin, Y. S., & Chang, Y. H. (2009). Fracture resistance and failure modes of CEREC endo-crowns and conventional post and core-supported CEREC crowns. Journal of Dental Sciences, 4(3), 110-117.
- Biacchi, G. R., Mello, B., & Basting, R. T. (2013). The endocrown: an alternative approach for restoring extensively damaged molars. Journal of Esthetic and Restorative Dentistry, 25(6), 383-390.
- Hayes, A., Duvall, N., Wajdowicz, M., & Roberts, H. (2017). Effect of endocrown pulp chamber extension depth on molar fracture resistance. Operative Dentistry, 42(3), 327-334.
- Biacchi, G. R., Mello, B., & Basting, R. T. (2013). The endocrown: an alternative approach for restoring extensively damaged molars. Journal of Esthetic and Restorative Dentistry, 25(6), 383-390.
- Fages, M., Raynal, J., Tramini, P., Cuisinier, F. J., Durand, J. C., & Cuisinier, F. J. (2017). Chairside Computer-Aided Design/Computer-Aided Manufacture All-Ceramic Crown and Endocrown Restorations: A 7-Year Survival Rate Study. International Journal of Prosthodontics, 30(6).
- Belleflamme, M. M., Geerts, S. O., Louwette, M. M., Grenade, C. F., Vanheusden, A. J., & Mainjot, A. K. (2017). No post-no core approach to restore severely damaged posterior teeth: An up to 10-year retrospective study of documented endocrown cases. Journal of Dentistry, 63, 1-7.
SPEAR STUDY CLUB
Join a Club and Unite with
Like-Minded Peers
In virtual meetings or in-person, Study Club encourages collaboration on exclusive, real-world cases supported by curriculum from the industry leader in dental CE. Find the club closest to you today!

By: Andy Janiga
Date: December 16, 2019
Featured Digest articles
Insights and advice from Spear Faculty and industry experts


