The Pieces of the Puzzle: Technical Steps To Produce a Diagnostic Wax-Up

Why consider what to send to your lab?

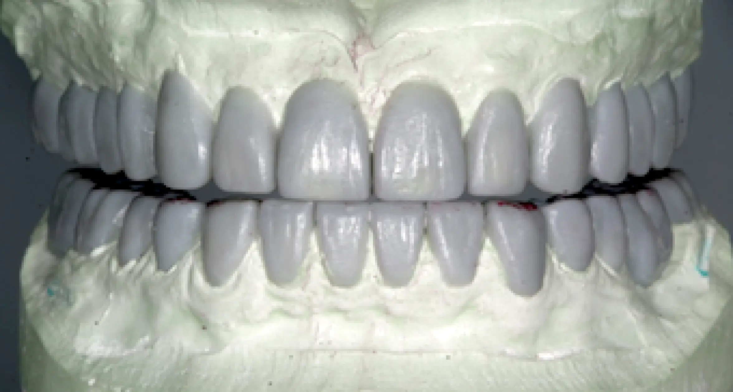
When fabricating a diagnostic wax-up, the steps taken by the laboratory technician directly relate to the principles taught in the Spear workshop Treatment Planning With Confidence. Establishing the position of the teeth requires careful consideration of all the components necessary for creating an esthetically pleasing outcome, and also incorporating all of the elements required for establishing proper function.

Why do you need to think through the process when determining what needs to be sent to your laboratory? Without all the pieces of the puzzle, it is not possible to produce the final picture. The following are the steps taken by the technician in producing a diagnostic wax-up.

Step 1

The maxillary cast is mounted with a horizontal transfer device (face bow, Kois transfer device, etc.), and the mandibular cast with a centric relation record, assuming a full mouth wax-up will be completed and the patient is treated in CR. Receiving accurate information from the clinician is important so the occlusal plane is not skewed, the midline is not canted, and functional problems are not incorporated into the diagnostic wax-up or definitive restorations.

Step 2

Maxillary and mandibular anterior teeth are waxed. The maxillary anterior teeth are waxed first, followed by the mandibular anterior teeth. This is done to establish:

  • Labial aspect: anterior-posterior position
  • Labial inclination
  • Incisal edge position (incisal tooth length)
  • Midline (location and inclination)
  • Incisal plane

After the mandibular anterior label surface and incisal edge are established in wax, the lingual morphology is created.

Step 3

The palatal morphology of the maxillary anterior teeth is waxed to establish:

  • The contact to mandibular incisal edges, which includes the minimal space required to maintain adequate strength of the restorative material
  • The vertical dimension
  • The pathway of function between the centric occlusal contact and the edge-to-edge position

Step 4

The maxillary posterior teeth buccal cusps only are waxed, establishing:

  • Cusp length
  • The occlusal plane
  • Buccal width (buccal corridor)

Step 5

The mandibular posterior teeth are waxed, establishing:

  • Buccal cusp height
  • The occlusal plane
  • Curve of Spee (A-P curve)
  • Curve of Wilson (lingual cusp height)
  • Occlusal morphology

Step 6

Completion of the maxillary posterior teeth are waxed, establishing centric occlusion contact with occlusal morphology and lingual cusp length.

Step 7

Refinement of established occlusion and function in both arches.

It is important for the clinician to understand each set of steps undertaken by the technician when producing a diagnostic wax-up if they’re going to attain the desired esthetic and functional outcomes. The implications of these steps should be taken into consideration by the clinician during diagnosis and treatment planning, and when gathering information to send to the dental laboratory.

FOUNDATIONS MEMBERSHIP

New Dentist?
This Program Is Just for You!

Spear’s Foundations membership is specifically for dentists in their first 0–5 years of practice. For less than you charge for one crown, get a full year of training that applies to your daily work, including guidance from trusted faculty and support from a community of peers — all for only $599 a year.


Featured Digest articles

Insights and advice from Spear Faculty and industry experts